• About WordPress
    • WordPress.org
    • Documentation
    • Learn WordPress
    • Support
    • Feedback
  • Log In
  • Register
Toggle Side Panel
DrBicuspid
  • Practice
  • Specialties
  • Hygiene
  • Digital Dentistry
  • Business
  • Cases
  • Careers
More options
    Sign in Sign up
    • Practice
    • Specialties
    • Hygiene
    • Digital Dentistry
    • Business
    • Cases
    • Careers
    • Sign In
    Home » Clinical Dentistry » Page 10

    Case Category: Clinical Dentistry

    22-year-old woman with oral lesion

    A 22-year-old woman with a lesion on the right maxillary sinus that was noted in a panoramic film.

    11-year-old girl with gingival lesion

    An 11-year-old girl with a lesion on the anterior left maxilla.

    18-year-old man with tongue lesion

    An 18-year-old man with a lesion in the middle of the tongue.

    15-year-old girl with pedunculated lesion

    A 15-year-old girl with a lesion over the left buccal mucosa.

    1-month-old girl with mandibular incisor

    A 1-month-old girl with a mobile primary mandibular incisor.

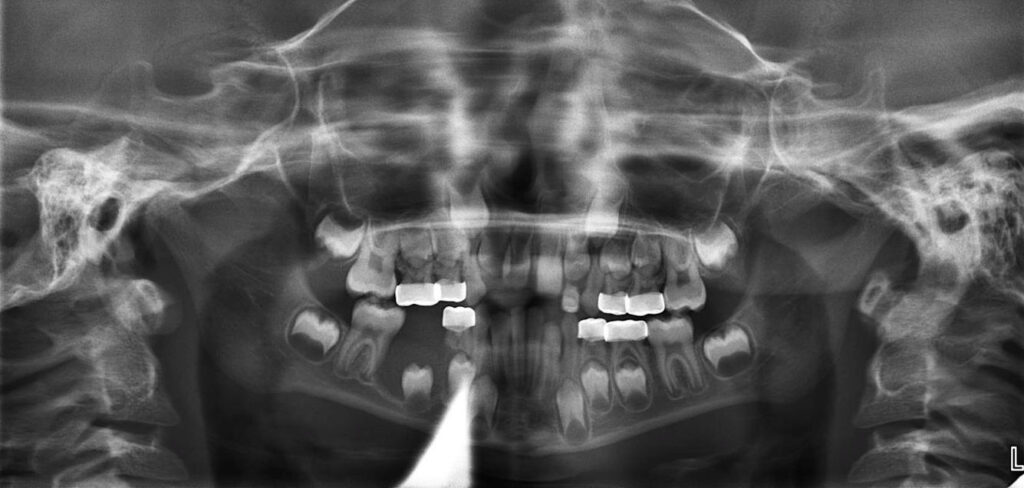
    6-year-old boy with unusual radiographic finding

    A 6-year-old boy with an unusual radiographic finding.

    8-year-old girl with dark lesion at gumline

    An 8-year-old girl with a small black lesion lingual to tooth #H.

    23-year-old woman with mandibular lesion

    A 23-year-old woman with a lesion noted on a panoramic film at the anterior mandible.

    18-year-old woman with lip nodule

    An 18-year-old woman with a soft, painless nodule over the left side of the inferior lip.

    76-year-old woman with pain over right maxilla

    A 76-year-old woman with mild to moderate pain over the posterior right maxilla.

    Load More

    Topics

    • Practice
    • Specialties
    • Hygiene
    • Dentistry
    • Business

    Resources

    • About Us
    • Conferences
    • Videos
    • Webinars
    • Media & Press
    • Advertising
    • Help

    Stay Connected

    Delivered right to your inbox, Dr.Bicuspid’s newsletters keep you informed on the latest clinical lab updates. Subscribe to get exclusive access!

    Sign Up

    Topics

    • Practice
    • Specialties
    • Hygiene
    • Dentistry
    • Business

    Resources

    • About Us
    • Conferences
    • Videos
    • Webinars
    • Media & Press
    • Advertising
    • Help

    Follow DrBicuspid.com

    Privacy Policy | Privacy Settings | Contact Us
    Facebook Twitter Linkedin