• About WordPress
    • WordPress.org
    • Documentation
    • Learn WordPress
    • Support
    • Feedback
  • Log In
  • Register
Toggle Side Panel
DrBicuspid
  • Practice
  • Specialties
  • Hygiene
  • Digital Dentistry
  • Business
  • Cases
  • Careers
More options
    Sign in Sign up
    • Practice
    • Specialties
    • Hygiene
    • Digital Dentistry
    • Business
    • Cases
    • Careers
    • Sign In
    Home » Clinical Dentistry » Page 5

    Case Category: Clinical Dentistry

    9-year-old-boy with mild macrocephaly

    A 9-year-old boy with mild macrocephaly, frontal bossing, and hypertelorism.

    41-year-old man seen for recall exam

    An asymptomatic 41-year-old man visited the dental office for a regular recall exam.

    67-year-old woman with facial pain, swelling

    6-year-old boy with abscess and discolored anterior teeth

    A 6-year-old boy with an abscess and unusual discoloration of the anterior teeth.

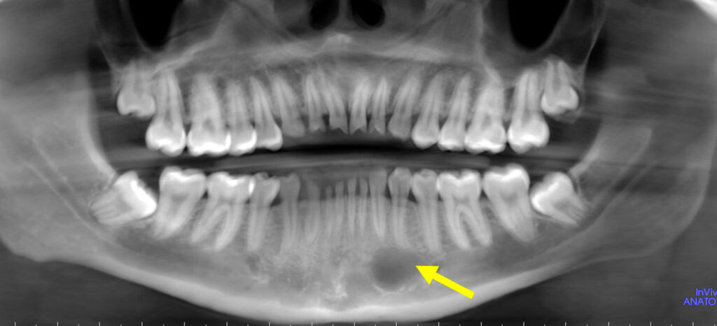
    40-year-old woman with lesion

    A 40-year-old woman presented with a lesion located at the periapical area of tooth #30.

    19-year-old woman undergoing a recall exam

    An asymptomatic 19-year-old woman undergoing a recall exam. 

    An 8-year-old girl with a lip mass

    An 8-year-old girl with a mass on her inferior lip.

    20-year-old-man with gingival lesion

    A 20-year-old man visited the family dentist about a “red patch” on the gingiva of his lower incisor. 

    65-year-old man with mandibular growths

    A 65-year-old man presented to the family dentist with multiple mandibular growths.

    7-year-old girl with a radiographic finding

     A 7-year-old girl with a radiolucent area on radiographs.

    Load More

    Topics

    • Practice
    • Specialties
    • Hygiene
    • Dentistry
    • Business

    Resources

    • About Us
    • Conferences
    • Videos
    • Webinars
    • Media & Press
    • Advertising
    • Help

    Stay Connected

    Delivered right to your inbox, Dr.Bicuspid’s newsletters keep you informed on the latest clinical lab updates. Subscribe to get exclusive access!

    Sign Up

    Topics

    • Practice
    • Specialties
    • Hygiene
    • Dentistry
    • Business

    Resources

    • About Us
    • Conferences
    • Videos
    • Webinars
    • Media & Press
    • Advertising
    • Help

    Follow DrBicuspid.com

    Privacy Policy | Privacy Settings | Contact Us
    Facebook Twitter Linkedin